science
Khoa Học Việt
Tin tức Khoa học & CN

Thuốc lá làm tiêu hủy nhiễm sắc thể Y ở đàn ông

admin

admin

Khoa Học Việt

calendar_today 16 Th4, 2026
schedule 8 phút đọc
chat_bubble_outline 0
Thuốc lá làm tiêu hủy nhiễm sắc thể Y ở đàn ông

So với các bạn đồng giới không hút thuốc, những nam giới hút thuốc tăng gấp 3 nguy cơ bị mất các nhiễm sắc thể giới tính Y của họ, theo một nghiên cứu mới.

Trong nghiên cứu mới đăng tải trên tạp chí Science, các chuyên gia đến từ Đại học Uppsala (Thụy Điển) khám phá ra rằng, nhiễm sắc thể Y, vốn giữ vai trò quan trọng trong việc xác định giới tính nam và sản xuất tinh trùng, biến mất khỏi các tế bào máu của người đàn ông hút thuốc nhiều hơn ở các tế bào máu của các bạn đồng giới chưa từng hoặc mới bắt đầu thói quen này.

Do chỉ có đàn ông sở hữu nhiễm sắc thể Y, nên khám phá trên có thể lí giải tại sao tỉ lệ đàn ông bị mắc và chết vì nhiều căn bệnh ung thư lại cao hơn so với phụ nữ. Một công trình nghiên cứu khác gần đây từng phát hiện mối liên hệ giữa việc mất mát nhiễm sắc thể Y với tuổi thọ ngắn hơn và nguy cơ phát triển nhiều bệnh ung thư cao hơn.

Thuốc lá làm tiêu hủy nhiễm sắc thể Y ở đàn ông
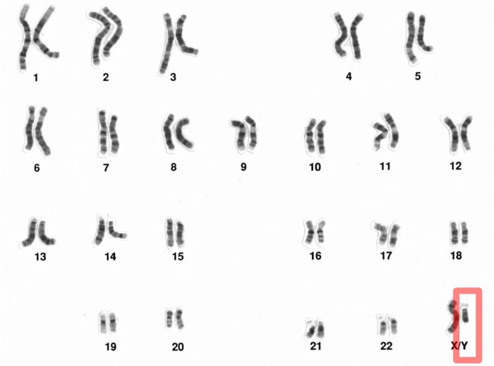
So với các bạn đồng giới không hút thuốc, đàn ông hút thuốc tăng gấp 3 nguy cơ bị mất các nhiễm sắc thể Y trong tế bào máu của họ. (Ảnh minh họa: Getty Images)

“Có sự tương liên giữa một yếu tố nguy cơ phổ biển nhưng phòng tránh được – việc thuốc lá, với đột biến phổ biến nhất ở người – mất nhiễm sắc thể Y. Điều này có thể lí giải một phần nguyên nhân tại sao, đàn ông nhìn chung sống đoản thọ hơn phụ nữ và tại sao hút thuốc lại nguy hiểm với đàn ông hơn”, giáo sư Jan Dumanski, một thành viên nhóm nghiên cứu, nhấn mạnh.

Ngoài bệnh ung thư phổi nguy hiểm chết người, hút thuốc còn là yếu tố nguy cơ chính dẫn tới hàng loạt căn bệnh nghiêm trọng khác. Nó là nguyên nhân dẫn đến tình trạng tử vong sớm vì các chứng bệnh mãn tính (chẳng hạn như bệnh tim, đột quỵ và áp huyết cao), có thể ngăn ngừa được hàng đầu thế giới.

Các dữ liệu dịch tễ học hé lộ, đàn ông hút thuốc đối mặt với nguy cơ phát triển các dạng ung thư không liên quan đến phổi, chẳng hạn như ung thư ruột, cao hơn phụ nữ hút thuốc.

Nhóm nghiên cứu đã phân tích dữ liệu của hơn 6.000 đàn ông, có tính tới tuổi tác, thói quen tập luyện thể dục thể thao, mức cholesterol, học vấn, lượng hấp thu rượu cồn và nhiều yếu tố sức khỏe cũng như hành vi khác. Họ phát hiện, ở những người hút thuốc, việc mất nhiễm sắc thể Y dường như phụ thuộc vào liều lượng. Nói một cách khác, nam giới hút càng nhiều, càng mất nhiều. Tuy nhiên, nếu người hút thuốc có thể bỏ thuốc thì hiện tượng mất nhiễm sắc thể Y này sẽ không tiếp diễn.

Nhiễm sắc thể
Xác suất mất nhiễm sắc thể Y trong tế bào máu của nam giới hút thuốc lá cao hơn gấp ba lần so với người không hút thuốc lá.

Tuy nhiên, nhóm nghiên cứu cũng nhận thấy, một số đàn ông bỏ hút thuốc sau đó dường như khôi phục được các nhiễm sắc thể Y của họ. Nhà nghiên cứu Lars Forsberg nói, đây có thể là động lực để những người hút thuốc từ bỏ thói quen xấu này.

Chính xác thì ảnh hưởng của việc mất nhiễm sắc thể Y là gì? Một số nghiên cứu ban đầu đã chỉ ra rằng việc mất nhiễm sắc thể Y trong tế bào máu không gây ra một số bệnh ung thư liên quan đến máu, nhưng nam giới có nguy cơ mắc các bệnh khác nhau, bao gồm 12 loại ung thư và bệnh Alzheimer.

Ngoài ra, trong một nghiên cứu được công bố trên tạp chí Science vào tháng 7 vừa qua, khi tiến hành nghiên cứu trên chuột, các nhà nghiên cứu đã phát hiện ra rằng khi các tế bào gốc tạo máu trong máu bị mất nhiễm sắc thể Y, tim của chuột sẽ bị yếu đi và để lại sẹo, đông thời chúng có nguy cơ suy tim dẫn đến tử vong và rối loạn chức năng tim mạch cao hơn. Một số cuộc điều tra đã chỉ ra rằng một tình huống tương tự cũng xảy ra ở nam giới hút thuốc lá.

“Đặc biệt là sau 60 tuổi, đàn ông có tỷ lệ tử vong cao hơn đáng kể so với phụ nữ. Có vẻ như họ lão hóa về mặt sinh học nhanh hơn”, nhóm nghiên cứu tại Đại học Virginia, cho biết.

Không chỉ các tế bào máu bị mất nhiễm sắc thể Y mới có thể gây hại. Mới đây, các nhà khoa học từ Trung tâm Y tế Cedars-Sinai, Hoa Kỳ đã công bố một nghiên cứu trên tạp chí Nature và phát hiện ra rằng trong số những bệnh nhân ung thư bàng quang, 10% đến 40% khối u ở những người này sẽ bị mất nhiễm sắc thể Y. Điều này không có gì đáng ngạc nhiên, bởi vì các yếu tố như hút thuốc và tiếp xúc với hóa chất có thể dẫn đến tăng hoặc mất mức độ methyl hóa trên nhiễm sắc thể Y. Tuy nhiên, những khối u mất nhiễm sắc thể Y này có nhiều khả năng trở thành khối u ác tính, điều đó có nghĩa là chúng khó điều trị hơn và gây tử vong nhiều hơn.

Các nhà nghiên cứu đã so sánh hơn 200 bệnh nhân mắc cùng một loại ung thư bàng quang và phát hiện ra rằng những bệnh nhân có khối u bị mất nhiễm sắc thể Y không chỉ phát triển nhanh hơn những bệnh nhân không bị mất mà còn có tiên lượng xấu hơn sau khi phẫu thuật.

Các nhà nghiên cứu suy đoán rằng việc mất nhiễm sắc thể Y có thể là một chiến lược sống sót tốt hơn cho các khối u. Chúng phát triển nhanh hơn và trốn tránh các phản ứng miễn dịch tốt hơn.

Các nhà khoa học hiện vẫn chưa biết rõ mất bao nhiêu nhiễm sắc thể Y trong các tế bào máu có liên quan đến việc phát triển bệnh ung thư, dù vẫn tồn tại khả năng là, các tế bào miễn dịch trong máu bị mất nhiễm sắc thể Y sẽ suy giảm khả năng chống lại các tế bào ung thư. Họ tuyên bố cần có thêm nghiên cứu để giải đáp bí ẩn này.

Chia sẻ: Facebook X LinkedIn
admin

admin

Biên tập viên tại Khoa Học Việt.

Xem tất cả bài viết arrow_forward

Bài viết liên quan