science
Khoa Học Việt
Tin tức Khoa học & CN

Bài viết mới nhất

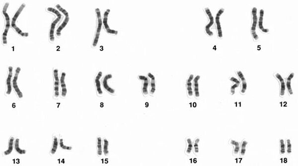
Thuốc lá làm tiêu hủy nhiễm sắc thể Y ở đàn ông
Y học - Sức khỏe schedule 16/04/2026

Thuốc lá làm tiêu hủy nhiễm sắc thể Y ở đàn ông

So với các bạn đồng giới không hút thuốc, những nam giới hút thuốc tăng gấp 3 nguy cơ bị mất các nhiễm sắc thể giới tính Y của họ, theo một nghiên cứu mới. Trong nghiên cứu mới đăng tải trên tạp chí Science, các chuyên gia đến từ Đại học Uppsala (Thụy Điển) […]

Vén màn rào cản vô hình tồn tại hàng triệu năm vắt qua lãnh thổ Indonesia
Khám phá khoa học schedule 16/04/2026

Vén màn rào cản vô hình tồn tại hàng triệu năm vắt qua lãnh thổ Indonesia

Các nhà nghiên cứu đã làm rõ sự phân bố không đồng đều các loài động vật hai bên ranh giới bí ẩn chạy qua Indonesia, nó được gọi là Đường Wallace. Nghiên cứu mới đến từ các nhà khoa học tại Đại học Quốc gia Úc tiết lộ, một ranh giới bí ẩn xuất […]

Bản đồ mới về vật chất tối củng cố thuyết tương đối rộng của Einstein
Khoa học vũ trụ schedule 16/04/2026

Bản đồ mới về vật chất tối củng cố thuyết tương đối rộng của Einstein

Đầu những năm 1900, nhà bác học Albert Einstein đã đưa ra thuyết tương đối rộng, thách thức mọi thứ mà các nhà khoa học khi đó tin rằng họ đã hiểu về vũ trụ. Qua nhiều năm, các nhà khoa học vẫn luôn đặt câu hỏi liệu thuyết này có đúng hay không. Tuy […]

Những sự kiện thần bí nổi tiếng trong lịch sử
1001 bí ẩn schedule 16/04/2026

Những sự kiện thần bí nổi tiếng trong lịch sử

Những sự kiện thần bí trong đời sống khoa học khiến thế giới phải rúng động. Trong lịch sử tồn tại rất nhiều sự kiện thần bí vượt ngoài tầm hiểu biết của nhân loại và ngoài khả năng giải thích của khoa học. Top 6 sự kiện bí ẩn trong lịch sử đến nay […]

Ăn chất xơ bao nhiêu là quá nhiều?
Y học - Sức khỏe schedule 16/04/2026

Ăn chất xơ bao nhiêu là quá nhiều?

Việc ăn uống thừa chất xơ có thể gây đầy hơi và táo bón. Để giảm cảm giác khó chịu trong trường hợp này, có thể uống nhiều nước, tập thể dục và thay đổi chế độ ăn uống. Một số triệu chứng khó chịu do thừa chất xơ có thể xảy ra khi một […]

Kinh ngạc loài ếch khổng lồ, dài 1m, nặng 8kg
Thế giới động vật schedule 16/04/2026

Kinh ngạc loài ếch khổng lồ, dài 1m, nặng 8kg

Ẩm thực châu Phi luôn khiến cho mọi người ngạc nhiên, thậm chí có phần khiếp sợ. Đặc biệt có một số động vật ở nước ta thì có kích thước bình thường, nhưng ở châu Phi thì lại lớn gấp nhiều lần, nổi bật nhất phải kể đến loài ếch. Loài ếch này có […]

Hoá ra “vòng tròn loading” của Windows 11 ẩn chứa bí mật ít ai biết
Công nghệ schedule 16/04/2026

Hoá ra “vòng tròn loading” của Windows 11 ẩn chứa bí mật ít ai biết

Bạn nghĩ rằng vòng tròn xoay khi khởi động Windows là ảnh động? Không phải như vậy đâu! Mới đây, một người dùng Twitter có tên @XenoPanther đã phát hiện ra một bí mật thú vị trên hệ điều hành Windows 11. Theo đó, vòng tròn xoay xuất hiện trên màn hình khởi động của […]

<1...2627282930...43>